指輪を探す
結婚式場を探す
花嫁レポートを探す
新着記事
ログイン
ほのちん
2020年春
ザ グランダブリュー 水戸(THE GRAND W MITO)
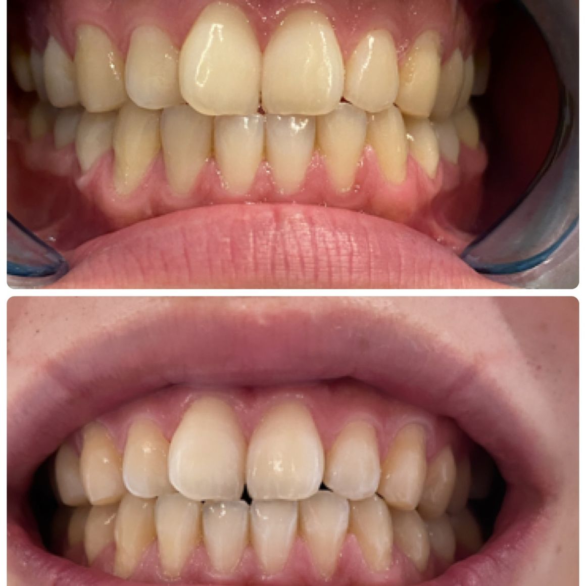
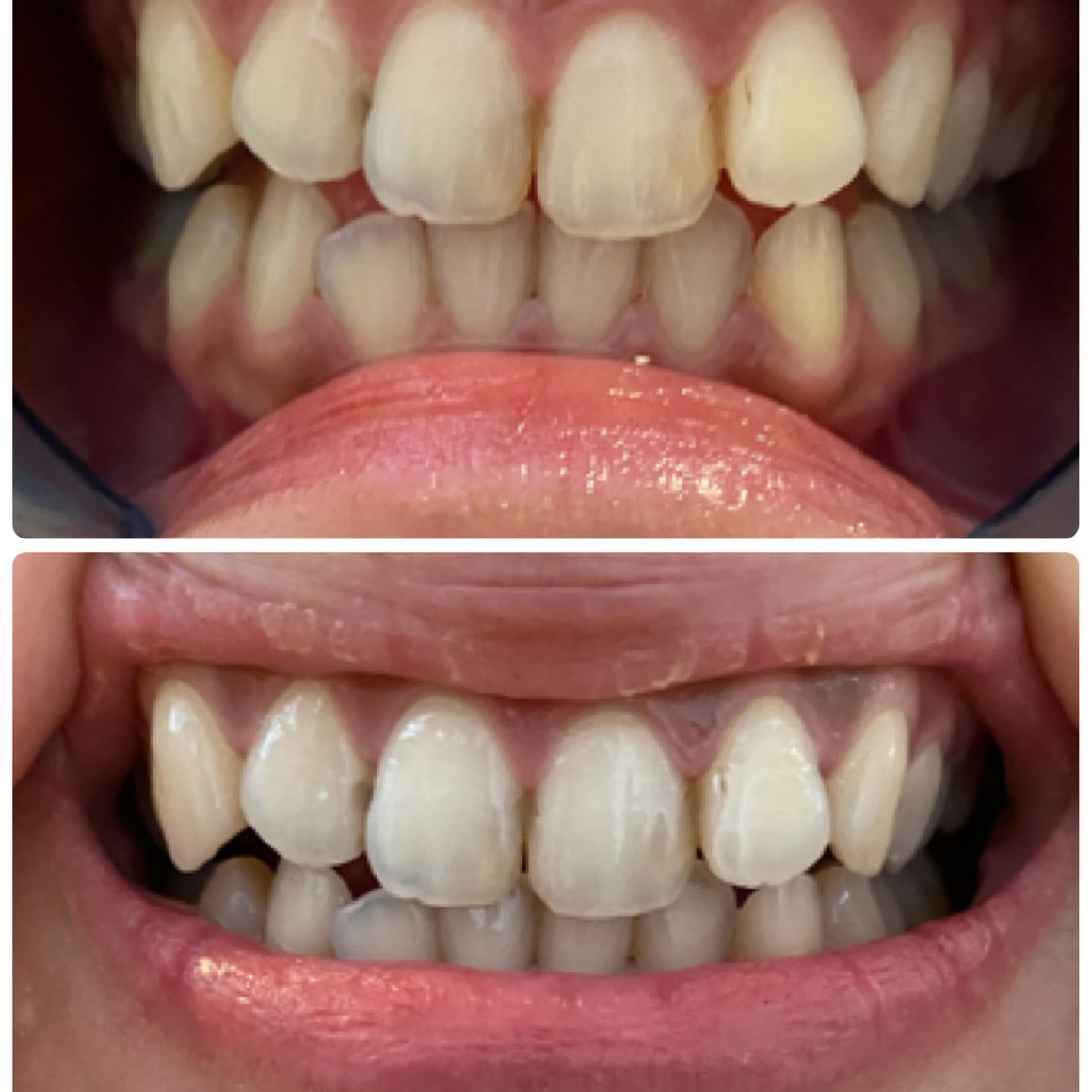
ブライダルエステ、ホワイトニング、スキンケア
EDITORS' PICKS
編集部が選んだ注目花嫁
ウェディングニュース相談カウンター
担当アドバイザーが結婚準備をサポート
何も決まっていない方でも大歓迎
無料相談受け付け中♪
詳しくはこちら
体験者の声を読む
あなたもマイレポを作りませんか?
ウェディングニュースのマイレポで、
あなたの大切な結婚式の記録を残しましょう♡
あなたの経験が次の花嫁の力になります。
アプリを
ダウンロード
マイレポとは
結婚式・結婚式場探しTOP
花嫁レポートを探す
ほのちん
アルバム
ブライダルエステ、ホワイトニング、スキンケア
保存するには
登録
が必要です
得
LIVE